Your Partner in Every Patient’s Care
To refer a patient, call 646-987-3538 or browse our specialists.
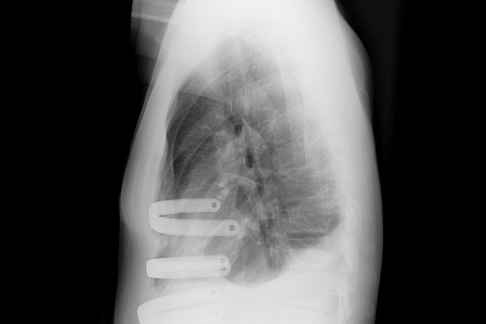
Complex Case Spotlight
The minimally invasive repair of adult pectus excavatum required cryoablation and three titanium bars, but the patient went home the next day.
*High performing in USNWR procedures and conditions
Complex Case Spotlight

Select your specialty to receive updates on our pioneering research, innovations, expert perspectives, case studies, practice-changing medicine, and more.