CARDIOLOGY
MINOCA: Precise Diagnosis is Crucial for Women with Heart Attack
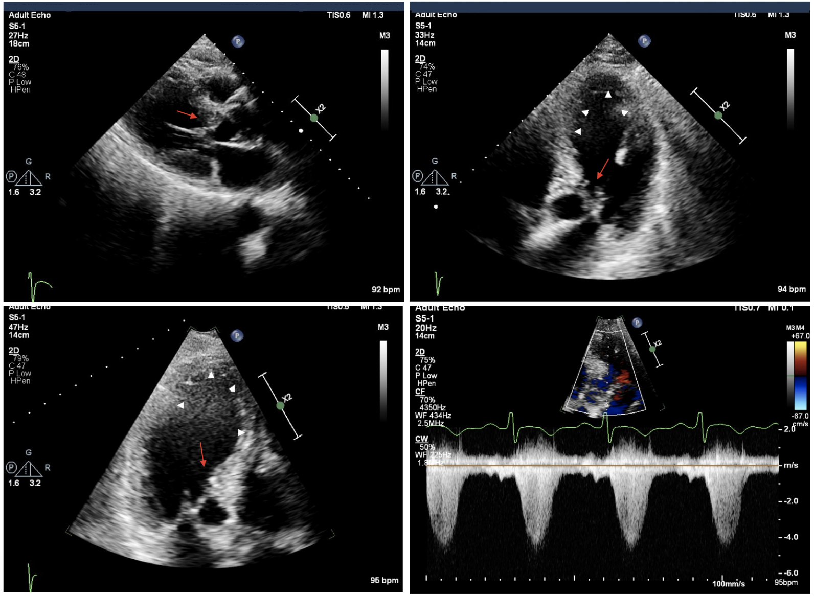
Dr. Harmony G. Reynolds and a research team are proving that OCT and cardiac MRI and can clarify why many women have heart attacks without coronary artery narrowing. Read the interview.
