Urology Case of the Month
Case of the Month
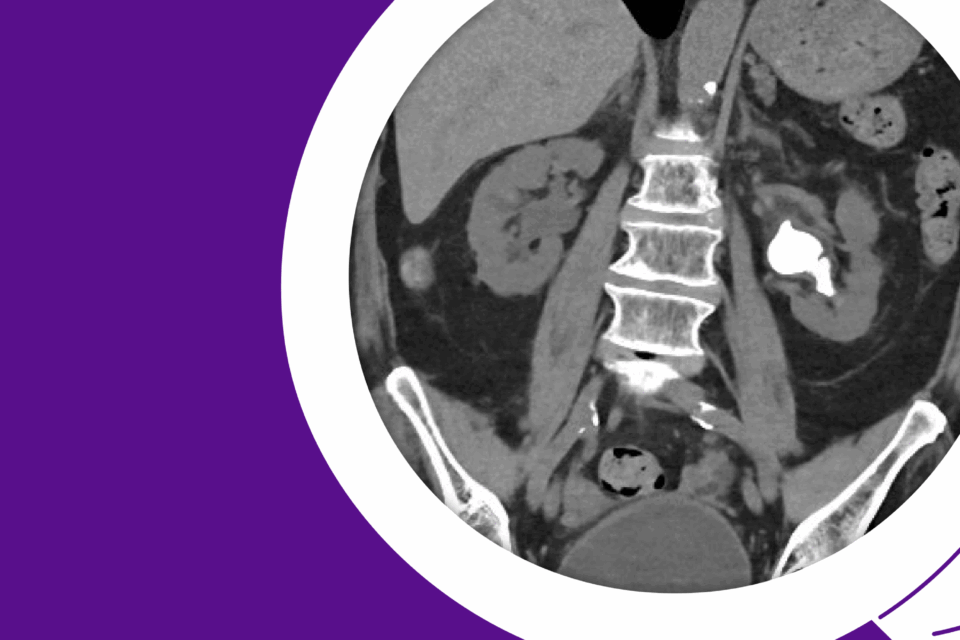
Robotic Management of Giant Hydronephrosis & Contralateral UPJ Obstruction
Dr. Brian W. Chao details his approach to robotic nephrectomy and pyeloplasty for incidentally discovered giant hydronephrosis and contralateral UPJ obstruction.
More from Urology
NYU Langone Health: A Leader in Urology

The Best Experts and Latest Breakthroughs
Select your specialty to receive updates on our pioneering research, innovations, expert perspectives, case studies, practice-changing medicine, and more.