Children’s Surgical Services

Complex Case Spotlight

Complete Resection of a Pediatric Mediastinal Teratoma Extending from Neck to Chest

Multidisciplinary team successfully resected a large teratoma intertwined with nerves and major vessels with meticulous planning, advanced imaging, and intraoperative nerve monitoring.

Read More

Hassenfeld Children’s Hospital: A Leader in Advanced Pediatric Care

surgery icon

Highest Level Children’s Surgery Verification

from the American College of Surgeons

baby icon

Level IV NICU

and Designated Regional Perinatal Center

Comprehensive Transplant Care

The only program in the tristate area to offer transplantation for all four solid organs: lungs, heart, liver, and kidneys.

Complex Case Spotlight

Complete Resection of a Pediatric Mediastinal Teratoma Extending from Neck to Chest

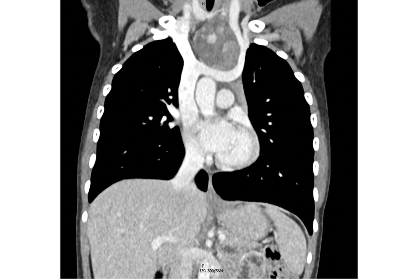
Preoperative CT scan of the patient’s chest showing the mediastinal tumor. Source: NYU Langone Health.

1 of 5

Virtual reality visualization of the tumor’s position near critical structures. Source: NYU Langone Health.

2 of 5

Intraoperative image showing the tumor at the top of the incision. Source: NYU Langone Health.

3 of 5

Intraoperative image after tumor resection showing the mediastinum and heart. Source: NYU Langone Health.

4 of 5

The resected tumor. Source NYU Langone Health.

Read The Full Article

5 of 5

Your Partner in Every Patient’s Care

To refer a patient, browse our specialists.

Subscribe for Updates from Hassenfeld Children’s Hospital

Sign up for Physician Focus emails for practice-changing news and perspectives from our experts.

Select Your Interests